Porcelain Crowns
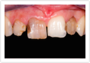
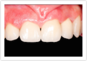
Applied Procedures: Porcelain Crowns
P25018_ss9499bs_t P25018_ss9499ys_t
Before Photo After Photo
Applied Procedures: Porcelain Crowns
P25018_ss9500bs_t P25018_ss9500ys_t
Before Photo After Photo
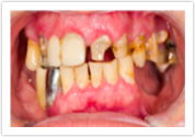
Applied Procedures: Porcelain Crowns, Dental Bridges
P25018_ss9501bs_t P25018_ss9501ys_t
Before Photo After Photo
Appointment request
Need an appointment with a dentist in West Roxbury ? Requesting an appointment at our West Roxbury, MA family and cosmetic dental office is now easier than ever. Fill out the form below and we'll contact you to find a time that fits your schedule. Start your journey towards a beautiful smile with us today!
Patient Name*
Phone Number*
Email Address
Are you a current patient?
Best time(s) to call?
Preferred Appt Date
Preferred Appt Time
Message
Describe the nature of your appointment or any other comments